تمت الموافقة الآن على اختبارات الدم لمرض الزهايمر ما مدى دقتها؟
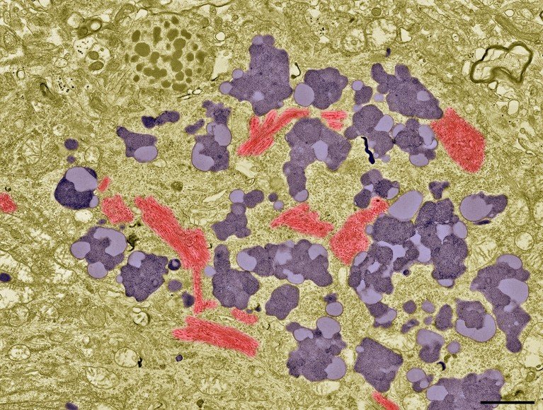
A blood test measuring levels of tau protein is almost 98% accurate in ruling out Alzheimer’s disease in individuals with cognitive impairments.Credit: Thomas Deerinck, NCMIR/Science Photo Library
إن اختبار الدم الذي يقيس مستويات بروتين تاو دقيق بنسبة 98٪ تقريبًا في استبعاد مرض الزهايمر لدى الأفراد الذين يعانون من إعاقات إدراكية.الائتمان: توماس ديرينك، NCMIR / مكتبة الصور العلمية
تمت الموافقة على اختبار دم جديد للمساعدة في تشخيص مرض الزهايمر من قبل إدارة الغذاء والدواء الأمريكية (FDA). الاختبار، الذي تم تصميمه لاستبعاد التدهور المعرفي الناجم عن مرض الزهايمر، هو أول اختبار دم تمت الموافقة عليه للاستخدام في أماكن الرعاية الأولية ولكنه ليس الأول لمرض الزهايمر.
يقوم Elecsys pTau181 – الذي طورته شركتان للأدوية، هما Roche في بازل بسويسرا وEli Lilly في إنديانابوليس بولاية إنديانا – بقياس شكل محدد من بروتين تاو المفسفر، المعروف باسم pTau181 في بلازما الدم. يحدد الاختبار مقدار بروتين تاو الذي تم تعديله في الجسم نتيجة لمرض الزهايمر.
وفي بيان صحفي صدر في الثالث عشر من أكتوبر، ذكرت شركة روش أنه في تجربة سريرية أجريت على 312 مشاركًا، كان اختبار Elecsys pTau181 قادرًا بشكل صحيح على استبعاد الإصابة بالزهايمر بنسبة 97.9% من الحالات. يستخدم الاختبار قيمة تنبؤية سلبية ويساعد على استبعاد الإصابة بمرض الزهايمر لدى الأفراد الذين يعانون من التدهور المعرفي، بدلاً من إعطاء إشارة إيجابية إلى إصابة شخص ما بالمرض.
أسرع وأرخص وأفضل: ظهور اختبارات الدم لمرض الزهايمر
يقول أشفيني كيشافان، طبيب أعصاب وباحث في العلامات الحيوية في جامعة كوليدج لندن: “أظهرت العديد من الدراسات البحثية أن بصمات الدم هذه تتمتع بتوافق عالٍ. وهي تتفق جيدًا مع المؤشرات الحيوية المعيارية الذهبية لمرض الزهايمر، والتي كنا نستخدمها في البيئات المتخصصة لسنوات عديدة”.
ومع ذلك، بدون الوصول الكامل إلى بيانات التجربة، يقول كيشافان إنه من الصعب تقييم مدى دقة الاختبار بشكل كامل. “سيكون من المهم رؤية الحساسية والنوعية وقيم التنبؤ الإيجابية لتقييم دقة هذا الاختبار.”
ما مدى دقة فحص الدم؟
تتميز أمراض مرض الزهايمر بتراكم لويحات أميلويد بيتا اللزجة وتشابكات بروتينات تاو في أنسجة المخ. كلا البروتينين يعطلان وظائف المخ ويؤديان إلى موت الخلايا العصبية ويسببان التدهور المعرفي المرتبط بالمرض1.
تمت الموافقة بالفعل على اختبار دم آخر لمرض الزهايمر لقياس هذه المؤشرات الحيوية في دم الأفراد. وفي مايو/أيار، حصل عقار Lumipulse، الذي طورته شركة التكنولوجيا الحيوية Fujirebio في طوكيو، على موافقة إدارة الغذاء والدواء الأمريكية. يقيس هذا الاختبار نسبة البروتينين: pTau217 وamyloid-β (1–42). تقول أليسيا ألجيسيراس شيمنيتش، وهي كيميائية سريرية في Mayo Clinic في روتشستر، مينيسوتا، إن الاختبارين يعملان بشكل مختلف قليلاً – حيث يستطيع اختبار Lumipulse إجراء اختبار إيجابي واستبعاد وجود أمراض الزهايمر.
خلال تجربة شملت 499 شخصًا، تم تأكيد نتائج 97% من الأفراد الذين جاءت نتيجة اختبارهم سلبية للمرض في اختبار Lumipulse من خلال اختبارات تشخيصية للمتابعة، والتي تقيس مستويات هذه البروتينات في السائل النخاعي وأنسجة المخ. ما يقرب من 92٪ من الذين كانت نتيجة Lumipulse إيجابية لمرض الزهايمر لديهم اختبارات متابعة إيجابية.
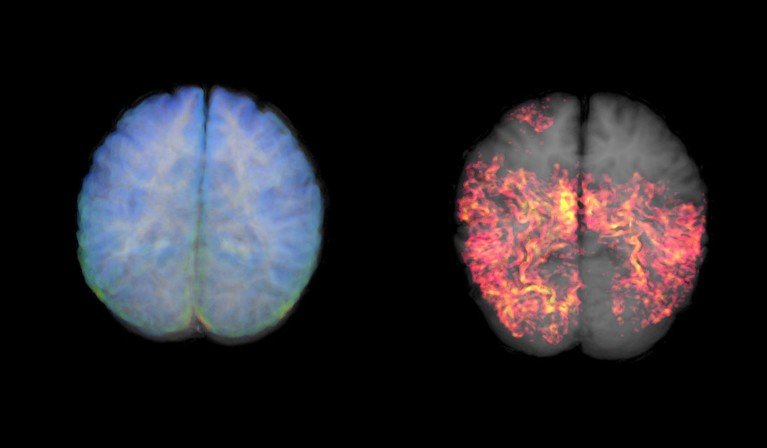
يقوم التصوير بالرنين المغناطيسي الملون (MRI) بمسح دماغ سليم (يسار) ودماغ يحتوي على مجموعات من بروتينات تاو (يمين). الائتمان: معهد مارك وماري ستيفنز للتصوير العصبي والمعلوماتية/مكتبة الصور العلمية
ولكن بقدر ما يقال أنها دقيقة، فإن اختبارات الدم كذلك عرضة لنتائج غير مؤكدة عند ربط الأعراض المعرفية بمرض الزهايمر. يمكن أن يقع الأفراد في “المنطقة الرمادية” ويحتاجون إلى مزيد من الاختبارات لتوفير تشخيص واضح.
أكثر من 30% من جميع العينات التي تم تحليلها باستخدام اختبار pTau217 الذي طورته شركة Quanterix، وهي شركة علوم الحياة في بيليريكا، ماساتشوستس، تقع في هذه المنطقة الرمادية2. ولم يتم الإبلاغ عن رقم مماثل في اختبارات Elecsys أو Lumipulse.
هل ستغير الاختبارات تشخيص مرض الزهايمر؟
■ مصدر الخبر الأصلي
نشر لأول مرة على: www.nature.com
تاريخ النشر: 2025-10-17 03:00:00
الكاتب: Katie Kavanagh
تنويه من موقع “yalebnan.org”:
تم جلب هذا المحتوى بشكل آلي من المصدر:
www.nature.com
بتاريخ: 2025-10-17 03:00:00.
الآراء والمعلومات الواردة في هذا المقال لا تعبر بالضرورة عن رأي موقع “yalebnan.org”، والمسؤولية الكاملة تقع على عاتق المصدر الأصلي.
ملاحظة: قد يتم استخدام الترجمة الآلية في بعض الأحيان لتوفير هذا المحتوى.







