
يساعد جهاز كهربائي مزروع تحت الشبكية على استعادة بعض حدة البصر للأشخاص الذين يعانون من الضمور البقعي المرتبط بالعمر.الائتمان: مؤسسة العلوم
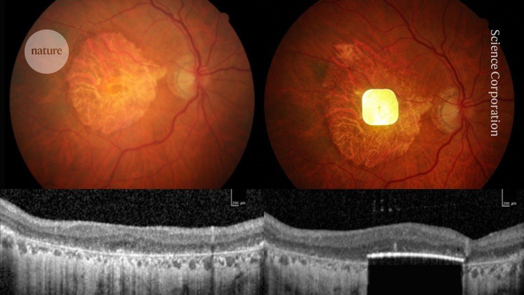
استخدم العلماء عملية زرع عين لتحسين رؤية العشرات من الأشخاص الذين أصيبوا بالعمى الوظيفي بسبب الضمور البقعي المرتبط بالعمر (AMD). يتم إدخال الغرسة، التي تبلغ أبعادها 2 ملم في 2 ملم، ويبلغ سمكها 30 ميكرومترًا فقط، جراحيًا تحت شبكية العين لتحل محل الخلايا الحساسة للضوء التي فقدها المرض.
التجربة السريرية، والتي تم وصفها اليوم في مجلة نيو انغلاند للطب1شارك فيها 38 شخصًا يعانون من AMD المتقدم الذين تدهورت شبكية عيونهم بشدة. بعد عام واحد من زرع الجهاز، حصل 80% من المشاركين على تحسن ملحوظ سريريًا في رؤيتهم.
يقول قائد التجربة فرانك هولز، طبيب العيون في جامعة بون في ألمانيا: «عندما كانت شبكية العين الميتة هذه بمثابة نقطة عمياء كاملة، تمت استعادة الرؤية». “يمكن للمرضى قراءة الحروف، ويمكنهم قراءة الكلمات، ويمكنهم أداء وظائفهم في حياتهم اليومية.”
عكس العمى بالخلايا الجذعية
وعلى الرغم من بعض الأحداث البسيطة المتعلقة بجراحة الزرع، فإن مجلس مراقبة السلامة التابع للتجربة رأى أن فوائد الجهاز تفوق مخاطره. وفي يونيو/حزيران، تقدم مالكو الجهاز — شركة التكنولوجيا العصبية Science Corporation، ومقرها سان فرانسيسكو — بطلب للحصول على شهادة تسمح ببيع الجهاز في السوق الأوروبية.
تقول فرانشيسكا كورديرو، طبيبة العيون في إمبريال كوليدج لندن: “أعتقد أن هذه دراسة مثيرة وهامة، وقد تم تصميمها وتحليلها بشكل جيد. إنها تعطي الأمل في توفير الرؤية للمرضى الذين كان هذا بالنسبة لهم بمثابة “خيال علمي” أكثر من كونه واقعًا”.
استعادة الرؤية
AMD هو الشكل الأكثر شيوعًا للعمى غير القابل للشفاء لدى كبار السن. هناك نوعان رئيسيان، AMD الرطب والجاف. وقد درس العمل الحالي الأشخاص الذين يعانون من الضمور البقعي المرتبط بالعمر الجاف، والذي يؤثر الشكل المتقدم منه على حوالي 5 ملايين شخص على مستوى العالم. في AMD الجاف، تموت الخلايا الحساسة للضوء في شبكية العين المركزية على مدى فترة من السنوات، مما يترك الأفراد المصابين برؤية محيطية سليمة ولكن بدون رؤيتهم المركزية عالية الحدة. يقول هولز: “إنهم لا يستطيعون التعرف على الوجوه، ولا يستطيعون القراءة، ولا يستطيعون قيادة السيارة، ولا يمكنهم مشاهدة التلفاز”.
تقوم الخلايا الحساسة للضوء التي تموت (العصي والمخاريط) بتحويل الضوء إلى إشارات كهروكيميائية يتم نقلها إلى أنواع أخرى من الخلايا العصبية في شبكية العين، والتي ترسل بعد ذلك رسائل إلى مناطق المعالجة البصرية في الدماغ. ونظرًا لأن الخلايا العصبية في شبكية العين تنجو من مرض AMD، فقد اعتقد العلماء أن زرع حساس للضوء يحفز الشبكية كهربائيًا وفقًا لنمط الفوتونات التي تضربها يمكن أن يعيد الإحساس بالرؤية.
دليل مرئي لإصلاح شبكية العين
تم تطوير هذه الزرعة، التي يطلق عليها اسم PRIMA – وهي اختصار للمصفوفة الدقيقة لزراعة شبكية العين الكهروضوئية – في الأصل من قبل شركة Pixium Vision ومقرها باريس، واستحوذت عليها شركة Science Corporation العام الماضي. إنه لاسلكي، على عكس أجهزة الشبكية السابقة. ولأنها طاقة ضوئية، فإن الفوتونات التي تنشطها توفر أيضًا مصدر الطاقة لتوليد مخرجاتها الكهربائية.
يتم استخدامه مع النظارات التي تحتوي على كاميرا تلتقط الصور وتحولها إلى أنماط من ضوء الأشعة تحت الحمراء التي تنقلها إلى الغرسة الشبكية.
يقول هولز إن النظام، الذي يسمح للمستخدمين بتكبير وتصغير الكائنات المستهدفة، وضبط التباين والسطوع، يستغرق شهورًا من التدريب المكثف لاستخدامه على النحو الأمثل.
في الدراسة الحالية، تم علاج 38 شخصًا في 17 موقعًا سريريًا في 5 دول أوروبية، وتم اختبار 32 من المشاركين بعد عام من عملية الزرع. وشهد ستة وعشرون منهم تحسنًا ملحوظًا من الناحية السريرية في رؤيتهم، وهو ما يعادل في المتوسط القدرة على رؤية سطرين أسفل مخطط اختبار العين القياسي للأحرف. بشكل عام، اقتربت رؤية معظم المشاركين من الحل الذي يمكن تحقيقه مع PRIMA.
وبحلول نهاية الدراسة، كان معظم المتلقين يستخدمون بريما في المنزل لقراءة الحروف والكلمات والأرقام. ومن بين 32 شركة، قالت 22 شركة إن رضا المستخدمين لديها كان متوسطًا إلى مرتفعًا.
نشر لأول مرة على: www.nature.com
تاريخ النشر: 2025-10-20 03:00:00
الكاتب: Liam Drew
تنويه من موقع “yalebnan.org”:
تم جلب هذا المحتوى بشكل آلي من المصدر:
www.nature.com
بتاريخ: 2025-10-20 03:00:00.
الآراء والمعلومات الواردة في هذا المقال لا تعبر بالضرورة عن رأي موقع “yalebnan.org”، والمسؤولية الكاملة تقع على عاتق المصدر الأصلي.
ملاحظة: قد يتم استخدام الترجمة الآلية في بعض الأحيان لتوفير هذا المحتوى.
