هل حان الوقت للتقاعد من اختبار تورينج؟
A blood test measuring levels of tau protein is almost 98% accurate in ruling out Alzheimer’s disease in individuals with cognitive impairments.Credit: Thomas Deerinck, NCMIR/Science Photo Library
لديك حق الوصول الكامل إلى هذه المقالة عبر مؤسستك.
مرحبًا طبيعة أيها القراء، هل ترغبون في الحصول على هذا الموجز في صندوق الوارد الخاص بكم مجانًا كل يوم؟ قم بالتسجيل هنا.
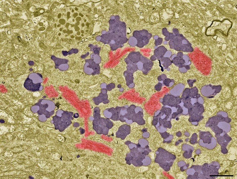
إن اختبار الدم الذي يقيس مستويات بروتين تاو دقيق بنسبة 98٪ تقريبًا في استبعاد مرض الزهايمر لدى الأفراد الذين يعانون من إعاقات إدراكية.الائتمان: توماس ديرينك، NCMIR / مكتبة الصور العلمية
وافقت إدارة الغذاء والدواء الأمريكية على اختبار الدم للمساعدة في تشخيص مرض الزهايمر، وهو الاختبار الثاني من نوعه والأول الذي يسمح باستخدامه في أماكن الرعاية الأولية، مثل عيادة الطبيب. يقيس الاختبار البروتينات المرتبطة بمرض الزهايمر لاستبعاد المرض لدى الأشخاص الذين يعانون من التدهور المعرفي. وفي الأسبوع الماضي، أعلنت شركة الأدوية روش أن الاختبار كان قادرًا بشكل صحيح على استبعاد الإصابة بمرض الزهايمر بنسبة 97.9% من الحالات. ولكن من دون الوصول إلى بيانات التجربة الكاملة، من الصعب تقييم دقة الاختبار بشكل مستقل، كما يقول طبيب الأعصاب أشفيني كيشافان.
طبيعة | 5 دقائق قراءة
اقرأ المزيد: أسرع وأرخص وأفضل – ظهور اختبارات الدم لمرض الزهايمر (الطبيعة | قراءة 12 دقيقة، من أبريل)
يعد اجتياز اختبار تورينج – وهي تجربة فكرية تسأل ما إذا كانت المحادثة المكتوبة على جهاز الكمبيوتر يمكن اعتبارها محادثة شخصية – بمثابة قطعة من الكعكة لأفضل نماذج الذكاء الاصطناعي (AI). اقترحه لأول مرة عالم الرياضيات آلان تورينج قبل 75 عامًا، ويرغب بعض الباحثين في رؤية اختبار محدث لاستخدامه كمعيار للتقدم نحو الذكاء العام الاصطناعي – نماذج تتمتع بالحيلة التي تتناسب مع القدرة المعرفية البشرية. ويقول آخرون إنه يجب إلغاء الاختبار تمامًاويجب على المطورين بدلاً من ذلك التركيز على تقييم سلامة الذكاء الاصطناعي وبناء قدرات محددة يمكن أن تكون مفيدة للجمهور.
طبيعة | 6 دقائق قراءة
حساسية الفول السوداني لدى الأطفال دون سن الثالثة في الولايات المتحدة انخفض بها 43% بعد إدخال المبادئ التوجيهية التي توصي بتغذية الفول السوداني للأطفال الرضع. اتبعت المبادئ التوجيهية تجربة تاريخية تم فيها توزيع مئات الأطفال الذين يعانون من الأكزيما الشديدة أو حساسية البيض أو كليهما بشكل عشوائي على نظام غذائي يحتوي على الفول السوداني أو بدونه. كان الأطفال الذين يتناولون الفول السوداني أقل عرضة للإصابة بحساسية الفول السوداني في سن الخامسة تقريبًا مقارنة بالأطفال الذين يتجنبون الفول السوداني. لم تبحث الدراسة الأخيرة في ما يأكله الأطفال بالفعل، لكنها تعزو الانخفاض في الحساسية إلى تأثير البحث والتغيير اللاحق في المبادئ التوجيهية.
نيويورك تايمز | 4 دقائق قراءة
مرجع: طب الأطفال ورق & مجلة نيو انغلاند للطب ورق (من 2015)
الميزات والرأي
في الخلافيلقي الكاتب العلمي جيم باجوت نظرة جديدة على فهمنا لكيفية نشوء الكون. يعد الكتاب “تحفة فنية تجمع بين العمق والوضوح والشمولية مع سهولة القراءة”، يقول مؤرخ العلوم هيلج كراج في مراجعته. الخلاف “سيكون ذا أهمية كبيرة لعلماء الفلك والفيزيائيين كما هو الحال بالنسبة للقراء العاديين المنبهرين بأسرار الكون”، كما يكتب.
طبيعة | 8 دقائق قراءة
على مدى 65 ألف عام على الأقل، تكيفت الشعوب الأصلية وسكان جزر مضيق توريس – أقدم الثقافات المستمرة في العالم – مع عالم متغير، بما في ذلك العصر الجليدي، والتقلبات الكبيرة في مستوى سطح البحر، وموجات الجفاف الشديدة. أ تفاعلية مهيبة بالتعاون مع أصحاب المعرفة الأمم الأولى يأخذنا من قارة ساهول الضخمة، حيث تقاسم الناس الأرض مع الحيوانات الضخمة مثل الجرابيات بحجم فرس النهر ديبروتودون، إلى أستراليا الحالية.
ايه بي سي نيوز | استراحة الشاي الطويلة تستحق التمرير الاستكشافي
يتم تمثيل النساء في الصور عبر الإنترنت وهم أصغر سناً بكثير مما هم عليهن في القوى العاملة الفعلية. قد يكون هذا التحيز موجودًا أيضًا في النصوص عبر الإنترنت وفي بعض أنظمة الذكاء الاصطناعي المساهمة في غير دقيق الصورة النمطية للمرأة على أنها تتمتع بمهارات أقل وخبرة أقل من الرجالوخاصة في المهن ذات المكانة والأرباح الأعلى.
طبيعة | فيديو 3 دقائق
أين أعمل
ماثيو كيم حاصل على شهادة في علم الأحياء البحرية من جامعة نيو برونزويك في سانت جون، كندا.ائتمان: ليام برينان
بصفته طالبًا جامعيًا، تعلم عالم الأحياء البحرية ماثيو كيم (على اليمين) كيفية إجراء الأبحاث خلال ساعات طويلة من العمل الميداني في المياه المتجمدة في شمال المحيط الأطلسي في نيو برونزويك، كندا. وعلى الرغم من الصعوبات، فهو ينصح بشدة بالتجربة. ويقول: “إن الجلوس في قاعة المحاضرات وأخذ الدورات المختبرية ليس مثل الخروج إلى الميدان والقيام بذلك بنفسك”. (طبيعة | 3 دقائق قراءة) (ليام برينان ل طبيعة)
في يوم الجمعة، أخذنا لغز البحث عن البطريق إلى جزيرة مول في اسكتلندا. هل وجدت ليف بينجوينسون؟؟ عندما تكون جاهزًا، ها هي الإجابة.
شكرا على القراءة،
فلورا جراهام، محررة أولى في مجلة Nature Briving
مع مساهمات جاكوب سميث
• إحاطة الطبيعة: وظائف – رؤى ونصائح وصحافة حائزة على جوائز لمساعدتك على تحسين حياتك العملية
• إحاطة الطبيعة: علم الأحياء الدقيقة – الكائنات الحية الأكثر وفرة على كوكبنا – الكائنات الحية الدقيقة – والدور الذي تلعبه في الصحة والبيئة والنظم الغذائية
• إحاطة الطبيعة: الأنثروبوسين — تغير المناخ، والتنوع البيولوجي، والاستدامة، والهندسة الجيولوجية
• إحاطة الطبيعة: الذكاء الاصطناعي والروبوتات – 100% كتبها بشر بالطبع
• ملخص الطبيعة: السرطان – نشرة إخبارية أسبوعية مكتوبة مع وضع الباحثين في مجال السرطان في الاعتبار
• إحاطة الطبيعة: البحوث الترجمية – يغطي التكنولوجيا الحيوية واكتشاف الأدوية والأدوية
■ مصدر الخبر الأصلي
نشر لأول مرة على: www.nature.com
تاريخ النشر: 2025-10-20 03:00:00
الكاتب: Flora Graham
تنويه من موقع “yalebnan.org”:
تم جلب هذا المحتوى بشكل آلي من المصدر:
www.nature.com
بتاريخ: 2025-10-20 03:00:00.
الآراء والمعلومات الواردة في هذا المقال لا تعبر بالضرورة عن رأي موقع “yalebnan.org”، والمسؤولية الكاملة تقع على عاتق المصدر الأصلي.
ملاحظة: قد يتم استخدام الترجمة الآلية في بعض الأحيان لتوفير هذا المحتوى.






